猫の心筋症
【概要】
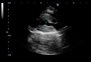
心筋症とは、心臓の筋肉自体が様々な原因により障害を受け、心臓がうまく機能しなくなる病気の総称です。肥大型心筋症は猫で最も多く発生する心筋症のタイプの一つで、心筋が腫れて分厚くなることにより、血行が悪くなってしまう病気です。

好発種として、メインクーンやアメリカンショートヘア及びペルシャなどが知られていますが、雑種猫でも多く発生しています。どの年齢でも発症する可能性があります。
一般的に初期には症状がありません。ただ、心臓が悪くなってくると、元気、食欲がなくなったり、痩せてきたりします。重度になってくると呼吸困難、開口呼吸、発咳などを示します。また、重篤な合併症として動脈血栓塞栓症が知られています。血栓塞栓症を合併すると後肢麻痺や前肢麻痺、痙攣、腎不全などが急に発生します。これは心臓でできた血の塊(血栓)が動脈に飛んでいき、詰まることにより生じます。
【治療】
病状は定期的にモニタリングする必要があります。病気の進行状況で異なりますが、血圧を下げたり、頻脈を抑えるような内服薬を使用して治療します。病態が悪化していくと様々な症状が出てきますので、対症療法を実施します。


